orijine-landing-logo(1)
orijine-landing-logo(1)

Precision Dentistry.
The Art of a Beautiful Smile.

 Advanced Aesthetic & Digital Dentistry where technology meets artistry for results that feel natural, confident, and lasting.

Elevating smiles, the Orijine way.

At Orijine, we believe your smile is more than aesthetics — it’s confidence, expression, and the essence of who you are.
Our dental care combines cutting-edge technology, advanced cosmetic techniques, and gentle precision to help you smile brighter, speak bolder, and live more confidently.

Services Offered

Smile Design and Aesthetic Care

Full mouth Rehabilitation

Preventive and Hygiene Care

Alignment and Orthodontics

Implant supported Dentures

Laser and Surgical Precision

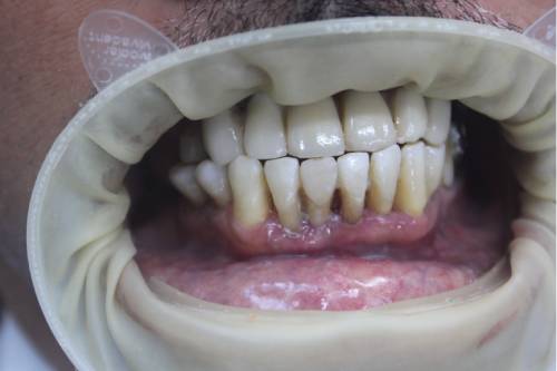
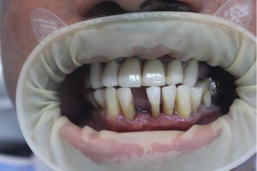
Smile Stories

Transformations That Speak for Themselves

Every smile we restore tells a story of renewed confidence.

Before

After

Before

After

Before

After

Before

After

Before

After

Before

After

Before

After

Led by Dr. Ragini Parmar

Bachelors in Dental Surgery

Fellowship in Laser Dentistry

PG Certificate in Aesthetic Dentistry (Manipal)

16+ Years of Experience

For me, dentistry goes beyond just treating teeth; it’s about empowering confidence, enhancing beauty, and transforming lives.
It’s where science meets artistry to create lasting impact.”

Why Choose Orijine Dental?

Doctor-led Aesthetic & Restorative Dentistry

Advanced Equipment: CBCT, Laser, CAD/CAM, 3D Digital Smile Design

Luxury, Private, and Serene Clinic Environment

Painless Techniques & Gentle Care Philosophy

Multi-disciplinary Integration with Skin & Wellness Experts

FAQ

Are dental treatments at Orijine painful?
Not at all. Our advanced techniques, digital precision, and gentle approach ensure minimal discomfort and a smooth, painless experience throughout your treatment

A smile makeover typically takes one to four weeks, depending on your individual case and the treatments involved. At Orijine, each plan is customized to your goals and schedule to ensure the best results with seamless coordination.

Digital Smile Designing uses advanced software to preview your future smile before any procedure. It allows us to plan and design your smile with precision and accuracy.

Yes. Dental implants at Orijine are performed using international-grade systems and strict sterilization protocols. With proper care, implants can last a lifetime.

Aligners are nearly invisible, removable trays that straighten your teeth discreetly, while braces are fixed appliances. Both are effective; your doctor will suggest what suits your case best.

We recommend scheduling a professional cleaning every 6 months to 1 year, depending on your oral hygiene and lifestyle habits.

Not when done professionally. Our advanced whitening systems are safe, enamel-friendly, and deliver visibly brighter results in just one session.

We specialize in calm, doctor-led care. Our serene clinic environment and patient-focused approach ensure comfort. We also offer Padabhyangam and Shiroabhyangam therapies to help calm the mind and body, allowing patients to feel deeply relaxed before any surgical treatment.

Yes. We perform laser gum depigmentation — a quick, painless procedure that restores healthy, even gum tone.

GBT is an advanced Swiss cleaning system that removes biofilm, stains, and calculus gently using air-polishing — offering a cleaner, healthier mouth with no discomfort.

If you have prolonged tooth pain, sensitivity, or swelling, it may indicate infection. Our digital X-rays and expert evaluation will confirm if a root canal is required

Yes. Veneers are thin porcelain shells placed over your teeth to correct discoloration, unevenness, or minor damage — creating a flawless smile.

Implant-supported dentures are anchored to implants, offering superior stability and comfort, unlike removable dentures which can shift or loosen over time.

Absolutely. Laser dentistry is precise, minimizes bleeding, speeds up healing, and also disinfects the treated area, reducing the risk of infection.

Yes. Our clinic is equipped with CBCT, OPG, and RVG imaging systems for precise diagnosis and customized treatment planning.

Your perfect smile begins here.

Experience aesthetic dentistry with precision, comfort, and care at Orijine Mumbai.

Book an Appointment

If you have any questions before booking an appointment
please us call on
Mumbai : +91 84089 93331 / +91 84089 93334
Mumbai, Prabhadevi